アマルガムを使用した詰め物による/健康被害

アマルガムを使用した歯の詰め物には主に水銀が含まれていること、そしてその水銀はあなたの健康に害となる重金属であることを知っていますか?
そのリスクから、歯科医療でのアマルガムの使用が禁じられている国があることをご存知ですか?
今日はアマルガムを使用した歯の詰め物の安全性について、私たちが知っておくべき事柄についてお話しします。
アマルガムとは何か、健康にどのような影響を及ぼすのか、アマルガムを別のものに替える方法はあるのかについてみていきましょう。
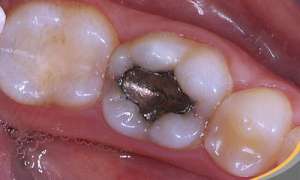
アマルガムの詰め物とは?
アマルガムとは銀色の物資でいろいろな金属でできた混合物ですが、特に水銀が使用されています。
アマルガムは虫歯でできてしまった穴を塞ぐ際に使用されます。
今日、多くの国では歯科治療の際に別の物質を使用して詰め物を行っています。
なぜなら、アマルガムに含まれる水銀の量が詰め物をする患者自身だけでなく、その治療を行う歯科医にも有害であるという研究結果が数々出ているからです。
また、水銀は私たちの住む地球によくない影響を与えることから、水銀を使用した製品の使用を減らすことを訴える環境活動も広まっています。
2008年以降、アマルガムの使用はスウェーデン、ノルウェー、デンマークといった国々では禁止されています。
こちらもご参考に:虫歯:要因と自然療法

水銀にさらされる
アマルガムの詰め物一つにつき約120mg〜570mgの水銀が含まれています。つまり、ゆっくりと長い時間をかけ唾液、胃酸、食べ物、高温などによって溶け出しているのです。
しかしこれだけはなく、体温計、電球、電池、化粧品、肌を明るくするクリーム、ペンキ、農薬など水銀を含む製品を使用することによっても、体が水銀に晒されることになるということを知っておいてください。
また研究により、マグロやメカジキのような大型の海魚に危険な量の水銀が含まれていることはわかっています。 したがってこのような魚の食べ過ぎには注意したほうがよいでしょう。

健康被害
水銀がもたらす最も大きなリスクは、取り込まれた水銀の一部が体内から自然に排出される一方で、実際はかなりの量が脳に蓄積され、何年もの間そのまま脳に残ってしまう可能性があることです。
そのため神経細胞の変性の進行を引き起こすのですが、これはアルツハイマー病やパーキンソン病といった病気に関連しています。
もう一つの深刻な健康被害として、妊娠中なら水銀は胎盤関門を通り、胎児の中枢神経系にまで届いてしまうということが上げられます。
また、水銀は胃腸管、口内、肺、甲状腺、脳下垂体などにも蓄積されます。
ご存知ですか?:MIND食事療法:アルツハイマー病のリスクを下げる食事
アマルガムの詰め物は取り除くことができるか?
アマルガムに含まれている水銀が健康に与える危険性を知ってしまったら、次の質問はおそらくこうでしょう
アマルガムを取り除くことができるのか? すでに何らかの副作用に苦しんでいるが、まだその症状の原因を突き止められてはいないという方から特にこの質問が出てくるのではないでしょうか。
答えはイエスです。しかし、取り除くことは可能ですが、注意して行わなければいけません。
実施要綱に従って慎重に除去を行うのが不可能ならば、この詰め物はそのまま残しておく方が患者自身と歯科医師のためになるでしょう。
なぜなら、詰め物が突然歯から離れてしまい体が水銀に晒される方が、より大きな健康被害を及ぼす可能性が高いと考えられるからです。
このタイプの詰め物を除去した経験のある専門家を探し、 以下のガイドラインに従ってください。
- 詰め物を取り除く際は、誤って飲み込んでしまわないよう気をつける
- 目を保護する
- 酸素マスクを使う
- 詰め物を取り除く際は涼しい場所で行う
- 詰め物は一度に素早く取り除く
- 品質のよい物質でできた詰め物を新しく詰め換える
- 防腐性のあるものでケアする
患者自身と歯科医師どちらの方も、もしこの過程で水銀に晒されてしまった場合には、体内から水銀を取り除く効果を持つ、ある天然の治療薬を服用することをお勧めします。
それはクロレラです。
この藻類由来の物質はデトックスにすぐれ、重金属だけでなくあらゆる有害物質の除去を助ける働きをします。
引用された全ての情報源は、品質、信頼性、時代性、および妥当性を確保するために、私たちのチームによって綿密に審査されました。この記事の参考文献は、学術的または科学的に正確で信頼性があると考えられています。
- Clarkson, T. W., & Magos, L. (2006). The toxicology of mercury and its chemical compounds. Critical Reviews in Toxicology. https://doi.org/10.1080/10408440600845619
- Zahir, F., Rizwi, S. J., Haq, S. K., & Khan, R. H. (2005). Low dose mercury toxicity and human health. Environmental Toxicology and Pharmacology. https://doi.org/10.1016/j.etap.2005.03.007
- Rice, K. M., Walker, E. M., Wu, M., Gillette, C., & Blough, E. R. (2014). Environmental mercury and its toxic effects. Journal of Preventive Medicine and Public Health. https://doi.org/10.3961/jpmph.2014.47.2.74
- About Dental Amalgam Fillings. (2017). US Food and Drug Administration. Recuperado el 13 de marzo de 2020.
このテキストは情報提供のみを目的としており、専門家との相談を代替するものではありません。疑問がある場合は、専門家に相談してください。







