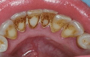
歯石を除去し口内の健康を改善する方法

歯垢は、食べ物の残りが歯の表面の内側・外側に蓄積されたときに形成されるものです。歯垢は口臭の原因となり、また、硬化・石灰化したときに出血や歯周病などの問題を引き起こします。
歯垢を除去し、歯に蓄積されるのを防ぐための絶対的な解決策はありませんが、歯垢が蓄積されにくいようにしたり、その進行を防ぐために、家庭でできることはたくさんあります。
歯垢除去のための一番良い方法は、歯磨きの仕方を変えることです。大部分の人は歯ブラシを平行に動かしますが、これは歯の過敏症を進行させ、そして歯垢を歯の間のより奥に押し込んでしまうことがあります。
代わりに、歯を上から下へ垂直に磨き、歯ブラシを常に円を描くように動かしてみてください。磨いた後は、歯の間に挟まったものを取り除くのに、デンタルフロスを使うことを忘れないでください。終わったら、口をマウスウォッシュですすぎ、ブラシの毛に巻き込まれた食べ物のかすを取り除くために、ブラシもよくすすいでください。
注意:必ず、歯ブラシを少なくとも年に4回は替え、フッ素の入った歯磨き粉を使ってください。
こちらの記事もご覧ください:歯石除去に効果的な自然療法
食事を変える
バランスの取れた食事を摂ることは、歯の健康促進に最も良い方法の一つです。砂糖と炭水化物を避けるようにして、ソフトドリンクを飲まないでください―どうしても飲みたい場合はストローを使って、ソフトドリンクが歯に直接触れないようにしてください。精製された小麦粉で作られた食べ物を食べすぎないようにして、もし食べる場合は、口内の細菌感染を防ぐために、食後の歯磨きを忘れずに。
口内の衛生状態を向上させる方法
民間療法の中には、歯の衰えや歯垢などの問題に対処するのに非常に効果があるものもありますが、やり過ぎて、かえって歯にとって害にならないように気を付けることが大切です。全体的な口内健康の促進に良い方法をいくつかご紹介します:
チューインガム

賛否両論あることも確かですが、最近の研究は、無糖のチューインガムが歯垢の形成を防ぐことを示しています。食後に一枚のガムを噛むだけで、食べ物の残りが取り除かれ、その後、歯磨きで完全に取り除くことができます。
重曹

歯を磨くとき、ごく少量の重曹を歯磨き粉に加えてください。重曹は歯の表面に残っている食べ物を分解し、また、歯をかなり白くすることができます。週に一回、就寝前にこれを行い、重曹は極少量だけ使う、ということを覚えておいてください。
こちらの記事もご覧ください:毎朝続けたい!朝の健康習慣5選
レモン

レモンの果汁は歯垢・歯石と戦うのに優れた効果があります。レモンの酸は研磨作用があり、口の中を全体的にきれいにします。また、歯を輝かせ、口臭を取り除き、歯を白くすることもできます。蓄積された歯垢を徐々に減らすために、週に一回だけ使ってください。使いすぎた時は逆効果になるため、使いすぎないよう細心の注意を払ってください。
覚えておくこと!
歯のクリーニング、ホワイトニング、そして歯の全体的な健康を促進するための方法はいくつかありますが、歯の健康を維持するために最善の方法は、6ヶ月ごとに定期的に歯科を受診することです。この不快で有害な歯垢の問題を完全になくすためには、プロによるクリーニングに勝るものはありません。
引用された全ての情報源は、品質、信頼性、時代性、および妥当性を確保するために、私たちのチームによって綿密に審査されました。この記事の参考文献は、学術的または科学的に正確で信頼性があると考えられています。
- Chetruş, V., & Ion, I. R. (2013). Dental plaque–classification, formation and identification. International Journal of Medical Dentistry, 3(2), 139-143. https://www.ijmd.ro/articole/306_306_6%20chetrus.pdf
- PPoyato Ferrera, M. M., Segura-Egea, J. J., Ríos-Santos, J. V., & Bullon, P. (2001). La placa bacteriana: Conceptos básicos para el higienista bucodental. Periodoncia, 11 (2), 149-164. https://idus.us.es/xmlui/handle/11441/39214
- Rosan, B., & Lamont, R. J. (2000). Dental plaque formation. Microbes and infection, 2(13), 1599-1607. https://www.sciencedirect.com/science/article/abs/pii/S1286457900013162
- Touger-Decker, R., & Van Loveren, C. (2003). Sugars and dental caries. The American journal of clinical nutrition, 78(4), 881S-892S. https://academic.oup.com/ajcn/article/78/4/881S/4690063
- Putt, M. S., Milleman, K. R., Ghassemi, A., Vorwerk, L. M., Hooper, W. J., Soparkar, P. M., … & Proskin, H. M. (2008). Enhancement of plaque removal efficacy by tooth brushing with baking soda dentifrices: results of five clinical studies. Journal of Clinical Dentistry, 19(4), 111. https://www.researchgate.net/profile/Mark_Putt/publication/24193167_Enhancement_of_plaque_removal_efficacy_by_tooth_brushing_with_baking_soda_dentifrices_Results_of_five_clinical_studies/links/555b610608ae6aea0816bf4d.pdf
このテキストは情報提供のみを目的としており、専門家との相談を代替するものではありません。疑問がある場合は、専門家に相談してください。








