下垂体腺腫とは何ですか?

下垂体腺腫は成長の遅い良性腫瘍で、下垂体を構成する細胞に由来します。
体内の他の腺の機能を調節する腺なので、とても重要だとされています。
ただし、下垂体腺腫は比較的よくあることで、成人1,000人に約1人の割合で発生します。
男女に等しく影響するため、性別による発症率の違いはありません。
年齢変数という観点では、30〜40歳の間に発生率が高くなっています。
一般的に、良性で成長の遅い腫瘍なので、下垂体がんまたは悪性腫瘍は非常にまれです。
下垂体腺腫の実際の原因はまだわかりませんが、場合によっては、多発性内分泌腫瘍症と呼ばれる遺伝性疾患に関連していることもあります。
下垂体腺腫の症状

このタイプの腫瘍に起因する主な症状は、ホルモン分泌の変化です。下垂体の腫瘍の発生率に応じて、1つまたは複数のホルモンが過剰に生成される場合があります。
内分泌系の変化により、次のような症状が現れる可能性があります。
- 甲状腺機能亢進症:甲状腺が過剰な量のホルモンを産生します。 (下垂体腺腫に罹患している人がこの症状を発症するのは非常に稀なケースです。)
- クッシング症候群:ホルモンであるコルチゾール値が通常よりも高くなります。
- 先端巨大症:成長ホルモン値が高い子供が、巨人症に苦しむことがあります。成人に発生した場合、末端肥大症を併発する可能性があります。
- 男性と女性の両方でのミルクの分泌と生産
- 性ホルモンの変化による女性の不規則な月経期間
対照的に、下垂体腫瘍が大きく脳構造が圧迫されると、次のような特定の症状が発生する可能性があります。
- 複視、視野の喪失、まぶたの垂れ、色覚の変化などの視覚障害
- 頭痛
- 疲れと眠気
- 鼻から流れる透明な液体
- 吐き気と嘔吐
- 嗅覚の問題
これらの症状が、突然同時に発生した場合には、下垂体梗塞につながる可能性があるため注意が必要です。
また、これらの症状のいずれかに気付いた場合は、必ず医師に相談してください。
こちらもご参照を:甲状腺機能低下症を和らげる補完療法3つ
腺腫の種類
次の方法で、サイズに応じて下垂体腺腫を分類することができます。
- ミクロアデノーマ:大きさが1cm未満のもの。
- マクロアデノーマと:大きさが1cm以上のもの。このタイプのアデノーマ(腺腫)は、多くの場合、1つまたは複数の下垂体ホルモンの大きな不足につながります。
また、ホルモンを分泌するかどうかで分類することもできます。
この基準によれば、ホルモンを自分で分泌する場合、機能する可能性がある腺腫であり、ホルモンを分泌しない場合は機能しない腺腫です。
診断

診断に関しては、医師は二重視と視野に問題があるかどうかを分析するための検査を行います。
また、検査技師は、側方視野または周辺視野の喪失と、特定の領域を見る能力を研究します。次に、内分泌機能の分析を行い、ホルモンの過剰をはじめとする異常の兆候を探します。
コルチゾール値の上昇、クッシング症候群、成長ホルモンの過剰などをパラメーターとして測定できます。
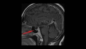
診断の確認に役立つ最も関連性の高いテストは、視野の検査とCTおよび脳のMRIです。
こちらもご参照を:コルチゾール値の高さを示す6つのサイン
下垂体腺腫の治療
現在の治療オプションには次のような治療が含まれます:
- 薬理学的治療とホルモン補充:ホルモン分泌を阻害する薬は、症状を抑制して腫瘍の大きさを小さくする効果が期待できます。
- 放射線療法:腫瘍のサイズを小さくするためによく使われる治療法です。
- 下垂体腺腫手術:このタイプの腫瘍は通常、鼻腔から除去されます。しかし、開頭または頭蓋骨の切開を行う必要がある場合があります。
- 内視鏡による鼻の手術:鼻孔を通して内視鏡を導入し、蝶形骨の穴が見つかるまで中鼻甲介と鼻中隔の間に挿入します。この穴は、蝶形骨洞の十分な開口部を作り、トルコ鞍の床を視覚化して腫瘍を除去できるように拡大します。
視神経に深刻な損傷がある場合、最も深刻な合併症は失明です。
腫瘍や腫瘍の切除は、生涯にわたるホルモンの不均衡を引き起こし、尿崩症を引き起こす可能性があります。
尿崩症の特徴的な症状は、頻尿と極度の喉の渇きです。
いずれにせよ、今回ご紹介した症状に気づいたら、できるだけ早く治療を受けることが大切です。
引用された全ての情報源は、品質、信頼性、時代性、および妥当性を確保するために、私たちのチームによって綿密に審査されました。この記事の参考文献は、学術的または科学的に正確で信頼性があると考えられています。
-
Jaime, M. de, López, F., & Cabrera, G. (2003). Patología de los adenomas hipofisarios. Patología.
-
Betanzos, R. R., Gerardo, E., Pérez, D., Apolonia, S., Montaño, A., Sánchez, V., … Mendoza, C. (2009). Artículo de revisión Acromegalia. Mcm.
-
CARNEIRO, C. C., MENDES, B. B., & BASTOS, L. G. (2015). ADENOMA HIPOFISÁRIO: CORRELAÇÃO CLÍNICA, LABORATORIAL E RADIOLÓGICA. REVISTA DA UNIVERSIDADE VALE DO RIO VERDE. https://doi.org/10.5892/ruvrd.v13i1.1979
このテキストは情報提供のみを目的としており、専門家との相談を代替するものではありません。疑問がある場合は、専門家に相談してください。








