急性冠症候群(ACS)の症状と診断法について

急性冠症候群(ACS)は、心臓への血液供給が大幅に減少した際に発生します。多くの場合、冠状動脈でのアテローム性プラーク(粥腫)の破綻によって引き起こされます。
アテローム性プラークとは、血管内にできる異常な蓄積です。プラークの破綻により血栓が形成され、冠状動脈の全体または一部を塞いでしまいます。
冠状動脈は心臓に酸素や栄養を供給する主要な血管であるため、冠状動脈が塞がれてしまうと心臓への血液供給が減少してしまい、虚血性心筋症を引き起こすのです。
これが、急性冠症候群の主な原因です。しかし、他の要因にとって引き起こされることもあります。
要因になり得る症状は、次の通りです。
- 川崎病
- 関節リウマチ
- 外傷
- 冠動脈血栓症
- 凝固亢進状態
- 動脈塞栓症
- 自発性冠動脈解離
- 先天異常
急性冠症候群の臨床症状

急性冠症候群の主な兆候は胸痛です。しかし、他の症状が発生することもあります。
急性冠症候群の主な症状は、胸骨や胃の辺りに現れる胸痛です。さらに、肩、首、あごにも痛みが広がることがあります。
突然痛みを感じ初め、時間が経つにつれて強くなります。通常2~5分後に痛みがピークに達しますが、痛みが一時的に引くこともあります。
他にも、吐き気、嘔吐、腹痛、またはめまいといった症状が出ることもあります。さらに、低血圧、発汗、顔面蒼白、そして不整脈を伴う可能性もあります。
ただし、25歳から40歳までの若い患者と75歳以上の高齢患者では、臨床症状が異なります。とはいえ、消化不良、疲労感、失神として症状が出る可能性があります。
こちらもご参考に:心筋梗塞について知ろう
急性冠症候群の診断
通常医師は、虚血の疑いがあり、胸痛を訴えた患者に対して急性冠症候群である可能性を考えます。この場合、病気の診断および重症度の判定のために追加検査が必要となります。
検査方法には、次のようなものがあります。
心電図検査

心電図検査とは、心疾患を診断するための検査方法です。
この検査では心房や心室の電気刺激(心臓の動き)が表示されたグラフを使用し、心臓の電気活動を記録します。
心疾患の疑いがある場合には、医師は診断の10分以内に心電図検査を実行する必要があります。また、検査結果が決定的ではなくても、臨床的証拠がある場合には、診断を続けるために15~30分ごとに心電図を繰り返すことが推奨されています。
血液検査
さらに、血液サンプルをもとに心筋が壊死したのときに血液中に放出される心筋酵素の濃度を分析します。心筋壊死マーカー(トロポニンおよびクレアチンキナーゼ)の濃度が高い場合、心筋梗塞が疑われます。
この検査は、診断してから60分以内に実行することが望ましいです。
しかし、最初の分析の際に心筋壊死マーカーの濃度が低いからといって、心筋障害がないというわけではありません。そのため、胸痛の症状が出てから、6時間後と12時間後に検査を繰り返す必要があります。
ご存知ですか?心臓発作 男女の違い
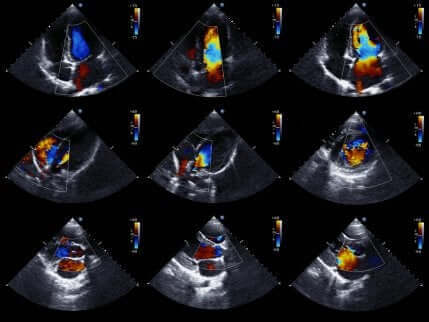
心エコー検査

最後に、心エコー検査(または心臓超音波検査)によって、より詳細に心臓を検査することができます。
心エコー検査は心臓の動きを動画で確認することができるため、非常に人気がある検査です。心室の状態と動きを確認し、虚血であるかどうかを診断することができます。
さらに、心臓の大きさ、強さ、および心室壁の状態も確認することができます。また、心臓の画像を得るために超音波を使用しているので、患者へのリスクがない非侵襲的検査です。
心臓壁の動きに異常が見られない場合、虚血の疑いはなくなります。しかし、心臓壁の運動障害は急性冠症候群のみに現れるものではありません。そのため、検査結果と症状を合わせて診断することが重要なのです。
他の検査方法
ときには、冠動脈造影検査を行うこともあります。造影剤とレントゲン写真を使用して、どのように血液が心臓に流れるかを観察する検査です。
さらに、運動負荷テスト、心臓核医学検査、運動負荷心エコー検査など、他の検査を行う可能性もあります。
引用された全ての情報源は、品質、信頼性、時代性、および妥当性を確保するために、私たちのチームによって綿密に審査されました。この記事の参考文献は、学術的または科学的に正確で信頼性があると考えられています。
- Cabrera S, Serrano I, Sans J, Bardají A. Protocolo diagnóstico del dolor torácico agudo. En: Urgencias. Unidades de dolor torácico. Medicine 2009;10(37)2511-4.
- Fauci, Braunwald, Kasper, Hauser, Longo, Jameson et al. Harrison, principios de Medicina Interna. Vol I-17a Edición. Mc Graw Hill Año 2009:87-91.
- Segura De La Cal, T., Carbonell San Román, S. A., & Zamorano Gómez, J. L. (2013). Síndrome coronario agudo. Medicine (Spain). https://doi.org/10.1016/S0304-5412(13)70608-5
- Sociedad Española de Cardiología. (2017). Proceso asistencial simplificado del síndrome coronario agudo. Sociedad Española de Cardiología. https://doi.org/http://dx.doi.org/10.2139/
- Lee Th, Goldman L. Evaluation Of The Patient With Acte Chest Pain. New England Journal Med 2000;342:1187-95
このテキストは情報提供のみを目的としており、専門家との相談を代替するものではありません。疑問がある場合は、専門家に相談してください。







